JEVELOOK

보다, 바라던 나를
쥬베룩

피부 속부터 차오르는 볼륨, 쥬베룩
더힐피부과에서 경험해보세요

쥬베룩은 고분자 PLA와 인체 피부 조직에 존재하는
히알루론산을 결합한 자가조직 재생 콜라겐 부스터입니다.

피부에 주입 즉시 볼륨이 형성되는 일반 필러와 달리,
자가 콜라겐 생성을 유도해
시간이 지날수록 자연스러운 볼륨을 형성하며
피부 탄력 강화는 물론 잔주름과 피부결 개선에도 도움을 줍니다.

피부 속부터 차오르는 콜라겐 변화

자연스러운 피부 밀도 개선
쥬베룩

쥬베룩은 콜라겐 생성을 유도해
피부 밀도와 탄력을 개선하는 스킨부스터입니다.
피부 속 환경을 건강하게 만들어
잔주름, 탄력 저하, 피부결 개선에 도움을 줍니다.

콜라겐 재생 중심 스킨부스터

콜라겐 생성을 유도해 피부 밀도와 탄력을
자연스럽게 개선합니다.

피부 결·잔주름 복합 개선

피부 속 환경을 건강하게 만들어
잔주름과 피부 결 개선에 도움을 줍니다.

시간이 지날수록 살아나는 효과

즉각적인 변화보다 점진적인
피부 컨디션 회복에 초점을 둡니다.

Recommended For

쥬베룩 추천대상

RECOMMENDATION 01

여드름 흉터, 패인 흉터가 고민인 분

RECOMMENDATION 02

귤 껍질같이 넓어진 모공이 고민인 분

RECOMMENDATION 03

눈가와 이마 등의 잔주름이 신경 쓰이는 분

RECOMMENDATION 04

피부결 개선을 통해 매끄럽고 빛나는 피부를 원하는 분

RECOMMENDATION 05

건조한 피부에 속부터 채워지는 깊은 보습을 원하는 분

RECOMMENDATION 06

자연스러운 콜라겐 재생 효과를 원하는 경우

꺼진 부위에 탄탄한 볼륨 솔루션

자연스럽게 완성되는 입체감
쥬베룩 볼륨

쥬베룩 볼륨은 콜라겐 생성과 볼륨 형성을 함께 고려한 솔루션입니다.
꺼진 부위에 자연스러운 볼륨을 채우면서 피부 탄력과 밀도를 동시에 개선합니다.

재생 기반 볼륨 설계

콜라겐 생성과 함께 볼륨 형성을 유도해 자연스러운 입체감을 완성합니다.

꺼진 부위 맞춤 볼륨 케어

필요한 부위에만 볼륨을 채워 과하지 않은 균형을 유지합니다.

안정적인 볼륨 유지

시간이 지나도 무너지지 않는 탄탄한 볼륨감을 유지하는 데 도움을 줍니다.

Recommended For

쥬베룩 볼륨 추천대상

RECOMMENDATION 01

얼굴 전체에 자연스러운 볼륨 증가가 필요한 분

RECOMMENDATION 02

팔자주름, 입 주변 주름 등 깊은 주름이 고민인 분

RECOMMENDATION 03

꺼진 볼, 관자 놀이 등 특정 부위의 볼륨이 부족한 분

RECOMMENDATION 04

얼굴 전반적으로 탄력이 떨어지고 피부에 힘이 없는 분

RECOMMENDATION 05

늘어진 피부를 개선해 탱탱한 타이트닝 효과를 원하는 분

RECOMMENDATION 06

얼굴 윤곽의 입체감을 살리고 싶은 경우

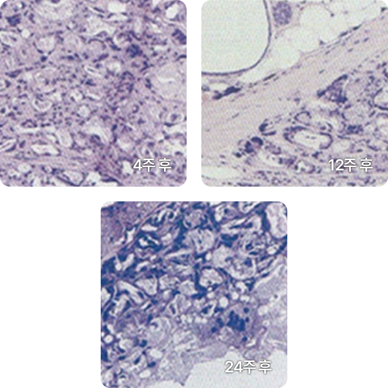
juvelook Science

임상시험을 통해
검증된 개선효과

다공성, 망상구조
입자로 오래 유지하는 재생효과

입자의 크기가 작아 일반적으로 사용되는 바늘보다
훨씬 가는 바늘로 시술이 진행되며,
녹는 시간이 빠르고 균일한 편입니다.
잔주름, 모공, 흉터의 미세하고 얕은 주름 같이
약간의 볼륨감만 필요한 부위에 효과적입니다.

표면의 다공성구조
내부의 그물모양의 망상구조

자연유래 성분을 이용한
콜라겐 재생 촉진

자연유래 성분을 이용하여 생분해성, 생체적합성인
고분자 P(DL)LA(Poly D, L-Lactide) 미세입자와 히알루론산
가교제 없이 하이브리드하여 사용되기 때문에
콜라겐 재생이 촉진되어 차오르는 것을 확인할 수 있습니다.

콜라겐 밀도 증가
Why THE HEAL Dermatology

더힐피부과를
선택해야 하는 이유

엄격한 위생관리
고객님의 피부에 닿는 모든 기기와
시술도구들은 전문의의 관리하에
엄격하게 멸균하여 청결 유지에
각별히 심혈을 기울이고 있습니다.
프라이빗 1인 관리실
피부 치유의 순간 전담 관리사가
프라이빗 1인 전용룸에서
고객님의 마음까지 힐링이 될 수 있도록
체계적인 관리가 이뤄집니다.
피부과 전문의
1:1 상담을 통해 풍부한 노하우로
원인, 증상에 따른 치료 플랜을 마련합니다.
피부의 변화에 따라 정확하게 진단하여
꼭 필요한 시술만을 진행합니다.

CLINIC HOUR

월 · 금
am 10:00 ~ pm 08:00
화 · 수 · 목
am 10:00 ~ pm 07:30
토 요 일
am 09:30 ~ pm 04:00
점 심 시 간
Pm 01:00 ~ pm 02:00

· 토요일은 점심시간 없이 진료합니다.
· 공휴일 및 일요일은 휴진입니다.

LOCATION

서울특별시 송파구 올림픽로 329, 4층 ( 잠실 르엘 상가 )

서울특별시 송파구 올림픽로 329, 4층 ( 잠실 르엘 상가 )
  • 대표자 : 양정화
  • 사업자등록번호: 000-00-00000
  • 전화 : 02-123-4567
COPYRIGHT © 더힐피부과의원 잠실점 ALL RIGHT RESERVED.